آخرین اخبار
۳۰ مهر ۱۴۰۴ - ۱۱:۲۰

پوسیدگی دندان را جدی بگیرید

پوسیدگی دندان را جدی بگیرید
بازدید:۱۱۶
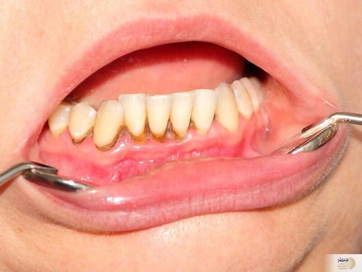
صد انلاین | گاهی با وجود مسواک زدن منظم، متوجه می‌شویم که دندان‌ها از نزدیکی لثه تغییر رنگ داده یا دچار حساسیت و درد خفیف شده‌اند. این ناحیه ظریف و مرزی، جایی است که به‌راحتی در معرض تجمع پلاک و باکتری قرار می‌گیرد و می‌تواند به پوسیدگی دندان منجر شود.

به گزارش صد آنلاین ، گاهی با وجود مسواک زدن منظم، متوجه می‌شویم که دندان‌ها از نزدیکی لثه تغییر رنگ داده یا دچار حساسیت و درد خفیف شده‌اند. این ناحیه ظریف و مرزی، جایی است که به‌راحتی در معرض تجمع پلاک و باکتری قرار می‌گیرد و می‌تواند به پوسیدگی دندان منجر شود.

 

 

پوسیدگی در کنار لثه به آرامی شروع می‌شود و اگر به موقع درمان نشود، ساختار دندان و حتی سلامت لثه را تهدید می‌کند. برای آشنایی با علت پوسیدگی دندان از کنار لثه و راه‌های جلوگیری از آن تا پایان با ما همراه باشید.

منظور از پوسیدگی از کنار لثه چیست؟

پوسیدگی از کنار لثه به نوعی از خرابی دندان گفته می‌شود که در ناحیه اتصال لثه و دندان یا کمی پایین‌تر از خط لثه ایجاد می‌شود. در این قسمت، مینای دندان نازک‌تر است و تجمع پلاک یا باکتری‌ها سریع‌تر موجب آسیب می‌شود.

علت پوسیدگی دندان از کنار لثه معمولا به رعایت نکردن دقیق بهداشت دهان یا تحریک لثه‌ها مربوط است. در صورت پیشرفت، این پوسیدگی به ریشه دندان و حتی بافت لثه نیز سرایت می‌کند.

علت پوسیدگی دندان از کنار لثه

پوسیدگی دندان از کنار لثه نتیجه ترکیبی از عوامل مختلف است که باعث تضعیف مینای دندان و تحریک بافت لثه می‌شوند. نوع تغذیه، سبک زندگی، بهداشت دهان، نوع مسواک و حتی تغییرات هورمونی بدن می‌توانند نقش مهمی در ایجاد این نوع پوسیدگی ایفا کنند.

بهداشت ضعیف دهان

مسواک نزدن یا عدم استفاده منظم از نخ دندان باعث تجمع پلاک و باکتری در نواحی اطراف لثه و فضای بین دندان‌ها می‌شود. این پلاک‌ها به مرور موجب تحریک بافت لثه، تخریب مینای دندان و در نهایت بروز خونریزی، تورم و بوی بد دهان می‌شوند. نتیجه این فرآیند، التهاب و عفونت لثه، تحلیل استخوان فک و پوسیدگی دندان است.

مسواک زدن منظم، استفاده از نخ دندان و دهان‌شویه ضدباکتری و مراجعه منظم به دندانپزشک برای جرم‌گیری در کنترل عفونت‌های پنهان لثه نقش مهمی دارند و علت پوسیدگی دندان از کنار لثه را از بین می‌برند.

 

تغییرات هورمونی

تغییرات هورمونی در دوران بلوغ، بارداری یا یائسگی می‌تواند بافت لثه را حساس‌تر و مستعد التهاب کند. افزایش سطح برخی هورمون‌ها، جریان خون در بافت لثه بیشتر شده و این ناحیه ملتهب می‌شود. درنتیجه فضای مناسبی برای تجمع باکتری‌ها و پوسیدگی دندان از کنار لثه به‌وجود می‌آید.

در این شرایط رعایت بهداشت دهان، استفاده از مسواک نرم، دهان‌شویه ضدالتهاب و مراجعه دوره‌ای به دندانپزشک برای بررسی وضعیت لثه اهمیت زیادی دارد.

مسواک نامناسب

استفاده از مسواک‌های سخت، بی‌کیفیت یا فرسوده می‌تواند باعث ساییدگی مینای دندان و آسیب به لثه شوند. از طرفی، مسواک‌های خیلی نرم نیز نمی‌توانند پلاک‌ها را به‌خوبی پاک کنند.

بهتر است از مسواکی با الیاف نرم و تراکم متوسط استفاده کرده و هر سه ماه یک‌بار آن را تعویض کنید تا تمیزکنندگی موثر حفظ شود.

تغذیه نادرست

مصرف زیاد مواد قندی، نوشابه‌های گازدار و خوراکی‌های چسبنده از دلایل مهم پوسیدگی دندان از کنار لثه است. قندها محیطی عالی برای رشد باکتری‌ها فراهم می‌کنند و اسید حاصل از فعالیت آن‌ها به مینای دندان آسیب می‌زند.

همچنین کمبود ویتامین‌های A، C و D موجب ضعف بافت لثه و تاخیر در ترمیم آن می‌شود. لذا رژیم غذایی سرشار از ویتامین C و کلسیم، سبزیجات تازه، لبنیات و آب کافی، نقش مهمی در تقویت دندان‌ها و لثه‌ها دارد.

استعمال دخانیات

نیکوتین موجود در سیگار و دخانیات علائم اولیه مانند خونریزی یا تورم را پنهان می‌کند و با کاهش جریان خون در لثه و موجب تضعیف بافت‌های محافظ دندان می‌شود.

علاوه بر این، سیگار روند ترمیم بافت‌های دهانی را کند کرده و احتمال بروز بیماری‌های لثه و تحلیل استخوان فک را افزایش می‌دهد.

خشکی دهان

بزاق نقش مهمی در پاک‌سازی طبیعی دهان، حفظ تعادل باکتری‌ها و خنثی کردن اسیدهای تولیدشده در دهان دارد. چنانچه به دلیل مصرف برخی داروها، استرس یا کم‌آبی بدن، ترشح بزاق کاهش یافته و دهان خشک شود، محیط مناسبی برای رشد باکتری‌ها و پوسیدگی دندان فراهم می‌آید.

نوشیدن آب کافی، استفاده از دهان‌شویه‌های مرطوب‌کننده و جویدن آدامس بدون قند به حل این مشکل و رفع علت پوسیدگی دندان از کنار لثه کمک می‌کند.

مشکلات ناشی از پوسیدگی کنار خط لثه

بیماری‌های سیستماتیک: سرایت باکتری‌های ناشی از پوسیدگی و عفونت لثه از طریق جریان خون به سایر اندام‌ها، خطر بیماری‌هایی مانند دیابت، مشکلات قلبی و التهابات مزمن را افزایش می‌دهد.

عفونت لثه: تجمع باکتری‌ها در اطراف خط لثه، خطر التهاب، خونریزی و عفونت را افزایش می‌دهد. با ادامه این روند، عفونت به بافت‌های عمقی‌تر لثه سرایت کرده و موجب تحلیل استخوان فک و بافت‌های نگهدارنده دندان می‌شود.

از دست رفتن دندان: پوسیدگی دندان از کنار لثه به مرور به ریشه دندان رسیده و موجب لق شدن یا از دست دادن دندان خواهد شد.

چطور از پوسیدگی دندان زیر خط لثه جلوگیری کنیم؟

مسواک زدن منظم و صحیح

استفاده از نخ دندان و دهان‌شویه

انتخاب خمیردندان مناسب

تمیز کردن زبان

مراجعه دوره‌ای به دندانپزشک

داشتن رژیم غذایی سالم

نوشیدن آب کافی

ترک سیگار و دخانیات

 

علت پوسیدگی دندان از کنار لثه مشکلی شایع اما قابل پیشگیری است. با انتخاب سبک زندگی سالم، توجه به بهداشت دهان و مراجعه منظم به دندانپزشک می‌توان سلامت دندان و لثه را حفظ کرد.

رسیدگی به موقع، نه‌تنها از درمان‌های پرهزینه جلوگیری می‌کند بلکه لبخندی سالم و ماندگار برایتان به ارمغان می‌آورد./سلامت نیوز